Cabinet dentaire du Dr MANHES à
SAINT JEAN DE VEDAS (34430)
Implantologie, Parodontologie, Dentisterie Esthétique
- 34430 SAINT JEAN DE VEDAS
Cabinet dentaire du Dr MANHES à
SAINT JEAN DE VEDAS (34430)

16 route de Montpellier
34430 SAINT JEAN DE VEDAS

Implantologie, Parodontologie, Dentisterie Esthétique
- 34430 SAINT JEAN DE VEDAS

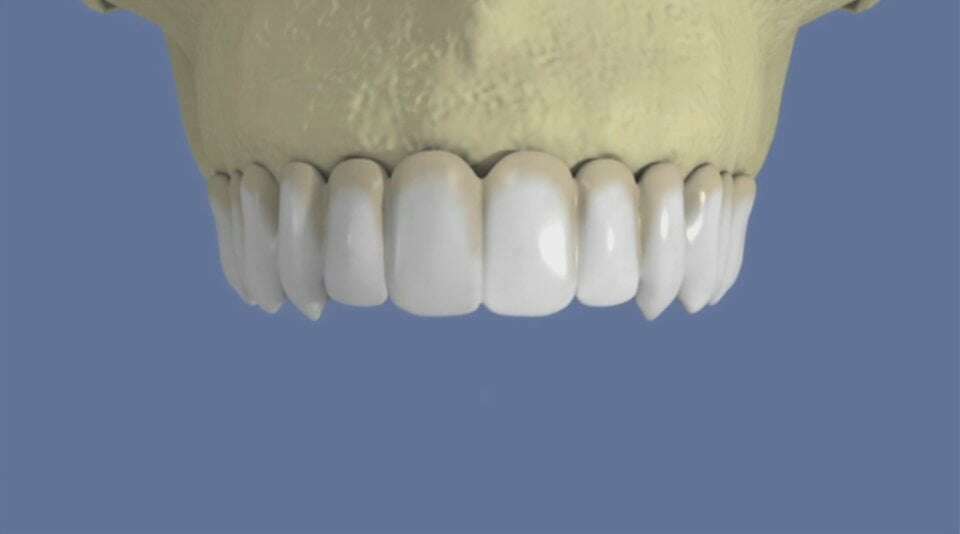
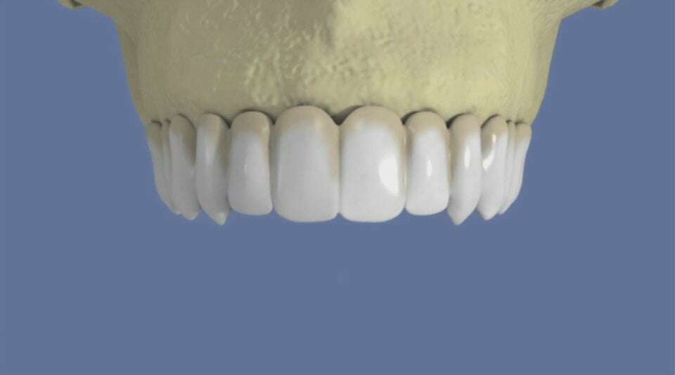
Maxillaire : bridge vissé sans fausse gencive


video-play-icon

Articles similaires

Création par Webdentiste

Connexion